Bilateral Polycystic Ovaries Ultrasound
 
										There s no test to definitively diagnose pcos.
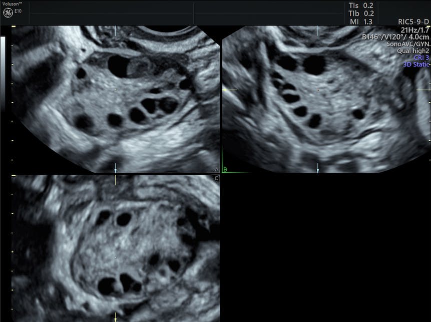
Bilateral polycystic ovaries ultrasound. On an ultrasound image inset a polycystic ovary shows many follicles. Ultrasound ovaries may be normal in pcos and conversely polycystic ovarian morphology pcom may be seen in women without the syndrome. Each dark circle on the ultrasound image represents a fluid filled follicle in the ovary. Polycystic ovary syndrome is usually associated with bilateral enlarged ovaries studded with atretic follicles not with cysts.
This case has representative features of torsion on ultrasound but also demonstrates the resilience of the adnexa after months of torsion. The following case demonstrates a unique presentation of chronic ovarian torsion in the setting of polycystic ovaries initially diagnosed and suspected to be bilateral endometriomas. Bilateral polycystic ovarian syndrome description of bilateral polycystic ovarian syndrome. Abstract objectives to characterize ovarian morphology in a group of ovulatory non hirsute women with infertility and normal circulating levels of gonadotropins and sex steroids.
It has been reported that ovaries can develop a polycystic morphology over time and enlarged ovaries with a polycystic appearance can subsequently become normal in size. Polycystic ovaries may be seen in 20 women of reproductive age 1 4. However it is well accepted that women with pcos tend to have larger ovaries with an increased number of follicles. Your doctor may suspect pcos if you have 20 or more follicles in each ovary.
Since the 1980s ultrasonography has allowed for noninvasive assessment of polycystic ovarian morphology pcom 2. A condition marked by infertility enlarged ovaries menstrual problems high levels of male hormones excess hair on the face and body acne and obesity. As the name suggests the disease is caused by frequent cysts on more bilateral polycystic ovarian syndrome. The term polycystic ovary is misleading.
Polycystic ovary syndrome pcos is a heterogenous disorder originally identified by stein and leventhal in 1935 based on the abnormal anatomic ovarian morphology 1. Bilateral polycystic ovarian syndrome medical condition. 30 second transabdominal ultrasound is preferred to the transvaginal approach in adolescent girls but this. A disease of the ovaries in women that has various impacts on female hormones.
First ovarian appearance and volume may vary during adolescence. However because of the commonness of ultrasound features of polycystic ovaries in healthy women the inclusion of this sign to the diagnostic criteria of polycystic ovary syndrome is still questioned.
 
										
				 
										
				 
										
				 
										
				 
										
				 
										
				 
										
				 
										
				 
										
				 
										
				 
										
				 
										
				 
										
				 
										
				 
										
				